On December 9. Cell Research published “Heritable expansion of the genetic code in mouse and zebrafish” on line. The paper is a joint researcch result of East China Normal University, Ecole Normale Supérieure, Université Paris VI, Collège de France, Sydney Medical School of University of Sydney and University of California at San Francisco. It for the first time reports the heritable expansion of the genetic code in vertebrates.

Cell Research publishes the paper on line.
Chen Tingyu, a Ph.D candidate of ECNU's School of Life Sciences is the first writer of the papaer. Dr. Li Dali of ECNU's School of Life Sciences, Dr. Ye Shixin of Université Paris VI, and Dr. Wang Lei of University of California at San Francisco are the communication writers of the paper.

The expansion of the genetic code in mouse and zebrafish.
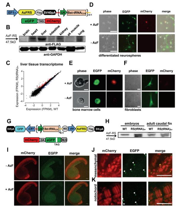
The genetic code can be expanded to encode unnatural amino acids (Uaas) by introducing an orthogonal tRNA/aminoacyl-tRNA synthetase (aaRS) pair to decode a stop codon. Initially developed in Escherichia coli1, this strategy has been proven generally applicable in eukaryotic cells2 and in generating transgenic invertebrates capable of Uaa incorporation, including Caenorhabditis elegans3 and Drosophila melanogaster4. Although cells and tissues of mouse can be transduced transiently to incorporate Uaas5, it remains unknown whether transgenic vertebrates with a heritable expanded genetic code system-wide can be generated, as it is unclear whether the biological complexity of vertebrates allows the introduction, maintenance and transmission of the newly introduced genetic material for code expansion. In this paper, ECNU scientists and their collaborators for the first time report the generation of transgenic mice and zebrafish with an expanded genetic code, providing valuable vertebrate model animals for biological and biomedical research.

Dr. Li Dali (Center of line 3) and his research team which includes Chen Tingyu (Right 1).
Cell Research is a monthly peer-reviewed scientific journal covering cell biology. It is published by the Nature Publishing Group on behalf of the Shanghai Institutes for Biological Sciences (Chinese Academy of Sciences) and is affiliated with the Chinese Society for Cell Biology.